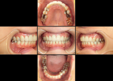
鏡の前でためらう日々から
自信を取り戻し、笑顔の日々へ
First Visit
無料相談


歯のお悩みをお聞かせください。まずは、あなたが抱える歯のお悩みをお聞きし、患者様の状況をご理解したいと思っております。こちらから契約を求めることは一切ございませんので、ご安心ください。
レントゲン・CTの費用も一切掛からず、ご相談のその日のうちにインプラント治療が可能か否かを診断いたします。
治療計画説明

検査結果をお伝えするとともに、患者様に適したインプラントの治療計画をご説明いたします。不明点や不安なことがありましたら遠慮なさらず、ご質問ください。
インプラント治療
申し込み


インプラント治療を始めたいという方は当院までご連絡ください。
麻酔に関する
術前検査および診断

術前に「健康診断結果」および「血液検査結果」を麻酔医により診断いたします。麻酔医は手術日のみではなく、必ず術前から綿密に患者様の全身状態についてご相談に入ります。
インプラント術前措置
(骨造成治療)


顎(あご)の骨が足りない場合、インプラントを埋める骨の造成治療を行います。当院では難易度の高い造成治療も対応可能です。
サージカルガイド
を作成

手術時に使用する患者様一人ひとりに合わせたオーダーメイドの装置を作ります。インプラントを埋め込む正確な位置、角度、深さを決めるため、CTを使ってシミュレーションしながら一寸のズレも許さず作成します。
インプラント
術前クリーニング

インプラント埋入手術の前日に当院へお越しいただき、口腔内のクリーニングを行います。そして、インプラント手術における注意事項をご説明いたします。
インプラント手術


【麻酔処置】
当院では患者様の精神面・身体面の負担を考慮し、眠ったようになり記憶が残らない「静脈内鎮静麻酔法」と呼ばれる麻酔を使用します。歯科麻酔科医による安全な麻酔処置を施します。

【インプラント埋入手術】
手術時間は麻酔や術後の処置をあわせると1時間〜1時間半程度です。術後は麻酔が効いた状態のため、意識が明確となるまで、麻酔医の管理下のもと、個室で十分にお休みいただけます。
定期メンテナンス
(術後管理)


インプラント手術後は当院へ定期的にお越しいただき、インプラントと骨の状態確認および天然⻭のメンテナンスを行います。
1年に1度は、レントゲンおよびCTにて精密にインプラントの状態も検査を実施いたします。
Advantages
強み
For
woman

安心してインプラント治療を受けていただくため、
1日1名のみ、女性のための
インプラント治療を行っています。
洗練されたプライベート空間のなか、
最先端の設備・技術を駆使した
インプラント施術を行います。
現在のご状況とその治療方法、
料金体系などをしっかりお伝えできるように
カウンセリングの時間を大切にしています。
無理に勧めることはありませんので、ご安心ください。
強み
For
woman

当院には女性の歯科麻酔科医が在籍しています。
恐怖心や身体的苦痛から解放してくれる
麻酔を使用するインプラント手術は、
専門の歯科麻酔科医がいなければ実現できません。
また、女性インプラント熟練医と、
老舗インプラントメーカー直伝の治療方法を
引き継いだ経験豊富な歯科医師が担当します。
特徴
For
woman

ご自身の症状や治療法をしっかりと
ご理解いただくことは、施術と同じくらい
大切だと考えています。
そのため、当院では検査結果や治療計画書、
見積もり明細を見える形でお渡しし、
患者様のインプラント治療への不安がなくなるまで
状態等のご説明、ご相談をさせていただいております。
難しい専門用語や構造の説明などを
かみ砕いてお伝えし、ご理解いただけるまで
話し合いを設けますので、ご安心ください。
強み
For
woman

当院で使用する麻酔は「静脈内鎮静麻酔法」といい、
ウトウトと眠った状態となる麻酔と、
一般的に実施される局部麻酔を併用します。
静脈内鎮静麻酔法は、恐怖や不安といった精神的負担、
力んで疲れるといった身体的負担から
解放してくれるだけでなく、術後の回復にも影響します。
恐怖心により出血量が増加した患者様は、
術後が芳しくないケースが見受けられるため、
安心・安全な手術には静脈内鎮静麻酔法が必要です。
特徴
For
woman

JR神戸線「甲南山手」駅から徒歩3分の場所にあり、
アクセスが便利です。
JRを利用すれば、三宮駅から約12分、
大阪駅から約21分で通うことができます。
専用駐車場も完備しております。
強み
For
implant

人目を気にせず安心してインプラント治療を
受けていただくため、患者様は1日1名のみ。
プライバシーを最大限に配慮した空間で、
患者様一人ひとりに合わせた
特別なインプラント治療をご提供いたします。
強み
For
implant


CTで歯と顎(あご)の骨を撮影し、
患者様のお口の状態をAIで解析します。
解析したデータを用い、精密なマウスピース型装置
(サージカルガイド)を作成します。
サージカルガイドは、インプラント体を顎(あご)の骨へ
埋める「位置・角度・深さ」を緻密に決める装置です。
神経損傷や副鼻腔(上顎洞)への突き抜け阻止のために
作成し、歯科医師の人為的エラーを防ぐ役目があります。
強み
For
implant

当院では「骨誘導再生療法(GBR)」や「ソケットリフト」
「サイナスリフト」と呼ばれる手法を用いて、
インプラントを埋める新たな骨を造成する治療を
行っています。
骨造成治療は難易度が高く、すべての歯科医院で
治療できるものではありません。
他院でインプラント治療を断られた場合でも
対応可能ですので、ぜひご相談ください。
強み
For
implant

当院では、3Dプリンタ技術に基づく光学印象
(型取り)とAI(人工知能)による解析可能なCTを
はじめとし、各種最新の医療機器・医療器具の
導入を積極的に行っています。
また、衛生管理を徹底し、安心して患者様が
治療に専念いただけるよう、消毒・滅菌および
院内の感染対策防止システムの拡充にも努めています。
強み
For
implant

当院で使用するインプラントの材料は、
歯科インプラント研究開発のリーダーでもある
「ノーベルバイオケア社」の製品のみです。
ノーベルバイオケア社のインプラント体は
1965年に世界で初めて患者様に使用されました。
その後、患者様がお亡くなりになる41年間、
機能し続けた話はとても有名です。
翌年の1966年に使用された患者様においては、
なんと50年以上機能しています。
当院の歯科医師 柴崎義貞は、ノーベルバイオケア社
直伝の治療技術を引き継いだ日本で数少ない
歯科医師です。
歴史あるインプラントメーカーの素材と治療技術を
ご提供します。
強み
For
implant

インプラントが装着された歯のメンテナンスは、
天然歯のクリーニング方法とは異なり、
専用器具を使用し、知識と技術が必要です。
当院にはインプラント知識を持つ国家資格保有の
歯科衛生士が在籍しておりますので、
治療後も安心してインプラントをご使用いただける
環境が整っております。
通常の歯磨きでは落としきれなかった歯垢を落とし、
場合によっては着色や細菌を除去する
メンテナンスを行います。
インプラントのメンテナンスのみならず、
残された大切な歯の健康状態もチェックします。
日常の歯磨きに加え、歯科衛生士とともに
お口の健康管理を行っていきましょう。
Case




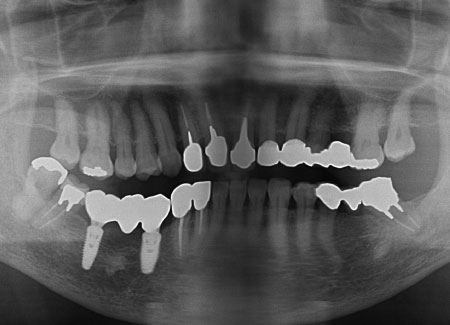
過去の神経の治療が原因で根っこの先に大きな膿の病巣ができたために、口腔外科にて病巣ごと抜歯。他院では病巣の影響で骨の治癒が悪くインプラントに適さないと診断されたこともあるが、インプラントの予後の良好な結果を説明し、インプラント治療を選択された。オペ前のCT撮影で十分骨があることをしっかり確認し、インプラントガイドを用いてベストな位置にインプラントを埋入、良好な結果を得た症例になります。


他院にて、数年前に左下第一大臼歯と第二大臼歯の入れ歯治療を試みるも常時使用することができず、今後自分の歯がどうなっていくんだろうと不安に思っていた。当院のカウンセリングで奥歯の重要性を説明し、しっかり噛めることの大切さを知り、インプラント治療に臨む。抜歯から数年経っていたために骨の状態は吸収しており、良好な結果を得るためにはCT撮影によるガイド作成が必須となった。術後は特に腫れることはなく、良好な結果をたどっています。




他院での根幹治療が原因で根っこの先に膿が溜まり、再度根幹治療を試みるも歯が割れていることがわかり、抜歯となった。抜歯後は、骨の体積を維持するために、人工骨にて抜歯後処置を行った。その甲斐あって、十分な太さと長さのインプラントを埋入することができた。
また、左上のインプラントも一度他院でされていたが、インプラント周囲炎になったため当院で抜去し、再度インプラント治療を行った。最初のインプラントは、不良な骨造成が原因による細菌感染によりインプラント周囲炎に陥っていたので、ご自身のみの良好な骨が一部存在することをCTにて診断し、インプラントガイドを用いて、正確な位置にインプラントを埋入した。その後、良好な結果を維持しています。




噛み合わせが強いことにより、神経を取った歯が咬合力に耐えきれず、歯根破折を起こしていた。強い咬合力のため、ブリッジや入れ歯では次々と同じように歯が割れていく可能性をカウンセリングにて説明し、納得していただいた上でインプラント治療に臨んだ。
骨粗鬆症薬を服用していることもあり、抜歯後に人工骨による骨の体積を維持する処置が不向きであると診断し、骨造成をしないでインプラントを埋入した。この際、内科担当医とは綿密に診療情報をやり取りした上で、オペの時期を決定した。その甲斐もあって、骨粗鬆症薬を服用されている患者様で起こり得る顎骨壊死は起こることなく、良好な結果を得ることができた。




他院での根幹治療による根尖性歯周炎を発症し、痛みを訴えられて来院。診断の結果予後不良であることを説明し、抜歯を行った。糖尿病があり、歯を何度も治療されるのが嫌であったため、できるだけ長く持つ治療法を希望し、インプラント治療を選択された。糖尿病の患者様は、外科的な処置をすると感染のリスクが高いため、インプラントオペ後十分な治癒期間を待って、歯冠部分を装着した。その甲斐あって、良好な結果を得た症例である。


過去に入れた差し歯の中が虫歯になり、外れてしまった。虫歯の範囲が大きく、歯を維持することが難しいため抜歯となる。神経をとった歯は、痛みもなく抜かなければらない状況に急に陥る可能性があることを説明し、予後が良いインプラント治療を選択された。インプラントオペは、上顎によくある骨が少ない症例でインプラントオペと同時に骨の量を人工骨にて増やす処置(ソケットリフト)を用いて、十分な骨量にインプラントを埋入した。その甲斐もあって、良好な結果を得た症例である。




歯がないことを引け目に感じていたがもう仕方がないと思っていた患者様です。他の治療箇所も含めて治療についてしっかりと説明したところ、前歯部の見た目も含めて全ての金属の処置をやり直しました。インプラントオペに関しては、不安を感じておられましたが、オペ後「寝ている間に終わった」と大変喜んでいただけました。また、「術後の腫れも少なく、事前に説明していたため、安心して処置を受けることができました」ともおっしゃっていました。




以前他の歯科医院で治療したブリッジが肩はずれをおこし、痛みを訴えられて来院されました。医療関係者ということもあり、ご自身の神経の残った歯を削って再度ブリッジにすることは嫌だとおっしゃったのでインプラント治療を勧めた患者様です。ただ、インプラントによるトラブルの多さも噂で聞いておられ、当院の消毒滅菌体制及び当院の症例を用いて説明することにより、安心して治療を受けられました。現在では、お子様も含めてご家族で来院していただいています。














About Us





Our Team


| 昭和53年 | 福岡県太宰府市 出身 |
|---|---|
| 平成16年 | 公立大学法人 九州歯科大学 卒業 |
| 平成17年 | 同校 歯科麻酔科 入局 (産業医科大学麻酔科 小倉記念病院麻酔科集中治療室 出向) |


| 昭和56年 | 兵庫県加東市 出身 |
|---|---|
| 平成19年 | 公立大学法人 九州歯科大学 卒業 |
| 国立大学法人 大阪大学歯学部付属病院 総合診療部 入局 | |
| 平成20年 | 大阪インプラントセンター 医療法人 岡田歯科 勤務 |
| 平成23年 | 医療法人真心会 ふくおか歯科 勤務 |
| 平成26年 | ママとこどものはいしゃさん 柴崎歯科 開設 |
| 平成31年 | 医療法人麗人会 ママとこどものはいしゃさん神戸院 開設 |

| 平成14年 | 大阪大学歯学部卒業(弓倉賞) |
|---|---|
| 平成14年 | 医療法人 岡田歯科勤務 |
| 平成22年 | 医療法人 佐藤歯科勤務 |
| 平成27年 | 米国ロマリンダ大学歯学部 |
| インプラントプログラム卒業米国歯科医師免許取得 | |
| 平成28年 | 米国ロマリンダ大学歯学修士取得 |
| 平成30年 | 本町通りデンタルクリニック 勤務 |
ママとこどものはいしゃさん神戸院では、
開院当初から非常勤医師として勤務。
Price

安心・安全にインプラント治療が行えるように、患者さまのお口やあご、お体全体の状態を把握していきます。レントゲンやCT、口腔内写真の撮影、口腔内検査、血液検査などで精密に確認します。

歯の部分に相当する人工歯です。ジルコニアセラミックス、オールセラミックスといった種類によって特性が異なるため、それぞれのメリット・デメリットをお伝えした上で選択していただきます。

接合部(アバットメント)とは、歯根部(インプラント体)と歯の部分に相当する人工歯(上部構造)を繋ぐ部分になります。既成のアバットメントもございますが、オーダーメイドで仕上げるアバットメントもご用意しています。

インプラント治療のシミュレーションソフトを使用して最適な埋入位置を入念に確認し、安全・確実にインプラント(人工歯根)をあごの骨に埋め、同時にアバットメント(土台)を連結させます。
330,000円

インプラント治療のシミュレーションソフトを使用して最適な埋入位置を入念に確認し、安全・確実にインプラント(人工歯根)をあごの骨に埋め、同時にアバットメント(土台)を連結させます。
77,000円
鎮静麻酔のお薬を血管内に注入する麻酔法で、意識レベルを落とし、眠ったような状態でインプラント治療を受けることができる方法です。そのため、治療に対する恐怖心が強い方や、嘔吐反射などで治療を受けることが難しい方でも治療が可能になります。笑気麻酔よりさらに高い効果を持ちます。
66,000円
骨の吸収を防止するために、抜歯でできた「穴」に人工骨や骨補填材などを入れて骨を再生させる方法です。
66,000円
インプラントを埋入するための長さ、上顎臼歯部の顎の骨に充分な骨量が得られていない場合に行う骨増成手術です。
66,000円

※総額¥590,000
CT/静脈麻酔/サージカルガイド/インプラント埋入(1本)/上部構造(ジルコニア)を含む
当院では、健康保険適用外の技術や装置によって
料金が高額になってしまうインプラント治療に対し、
歯科治療費を分割して返済できるデンタルローンをご用意しています。
イオン・デンタルローンをご利用の場合、
金利を最大48回まで当院にて負担しております。
※自由診療でのお支払いに
ぜひ、ご活用ください。
高額な自由診療も最小の負担で受けられ、
デンタルローンご利用金額はすべて医療費控除の対象です。
※医療費控除の金額には上限があります。
当院が提携している「イオンプロダクトファイナンス デンタルローン」は、
WEBでお申し込み手続きができ、手軽にご利用いただけます。
当院では、安心・安全のインプラント治療を提供するため、
インプラント保証制度を設けております。
ただし保証適用となるためには、インプラント治療後に当院指定期間内での定期メンテナンスへご来院いただくことが条件です。規定通りにメンテナンスへご来院いただけない場合は、保証対象外となりますので、ご了承ください。
Question Answer
基本的には天然歯と同等とお考えください。
インプラントは丁寧なお手入れをし続ければ、20年以上お使いいただけます。
アメリカでは40年以上使用できたケースも報告されており、インプラントを長くお使いいただくにはメンテナンスが欠かせません。
周辺組織や骨の様子を定期的に確かめるとともに、ご家庭での徹底したホームケアにより、インプラントへ影響が出ないように保つ患者さんの生活習慣の維持が何よりも重要です。その意味では、天然歯と同じで、ホームケアを怠るようであれば、インプラントが長期的に維持できないことにもなり得ます。
また、インプラントにはジェネリックもあります。日本で主に使われているインプラントは「ノーベルバイオケア」「ストローマン」「アストラ」の3つです。
中でもノーベルバイオケアはインプラントの元祖であり、海外ではメジャーなため海外移住や海外渡航先でのトラブルにも対応可能です。
価格で選ぶだけでなく歴史や実績なども考慮し、安心して使い続けられるインプラントを選んでいただきたいと思っております。
1本あたりの埋入そのものの時間は30分程度です。
麻酔や術後の処置をあわせると1時間〜1時間半程お時間をいただいております。治療部位の感染リスクや結合リスクなどを考慮して手術回数を変える場合があります。
また、術後はインプラントと骨がしっかりと結合するまで経過観察が必要です。
実際には、静脈内鎮静法の作用により、これからはじまると思って眠りに落ち、目覚めた時には既に手術は終わっているため、一瞬で手術が終わったという感覚をお持ちになるかもしれません。
1本の歯に対して1本のインプラントを埋め込むのが
インプラント治療です。
一方オールオン4とは、上顎、または下顎すべての歯を失った場合にのみ適用可能な手術です。具体的には、顎(あご)の骨に最小4本のインプラントを埋め込み、連結した12本の人工歯を固定する治療法となります。オールオン4は身体的負担や治療期間の短さがメリットとして挙げられますが、残っている歯の抜歯が必要となったり顎(あご)の骨の状態によっては治療できなかったりするケースもあります。
静脈内鎮静法を併用している場合は、
手術中の痛みを感じることはまずありません。
仮に静脈内麻酔鎮静法を行なっていない場合でも、十分な局所麻酔を行えば、インプラント手術中は振動を感じる程度です。
術後は個人差がありますが、術後2〜3日、長くても1〜2週間ほどで痛みは治まります。しかし、痛みの治まる目安はありますが、治療法が異なれば痛む場所や痛みや腫れの強さも異なります。当院では痛み止めも処方しますので、痛みや腫れが強くて我慢できない場合はお気軽にご相談ください。
患者様の骨の状態によって必要な治療が異なり、
治療金額は人それぞれ変わります。
一般的にインプラントは高額と思われていますが、インプラント以外の治療法を選択したがゆえに将来、複数の歯を失い、より高額な治療費が必要となるケースもあります。
インプラントにしなかったことで、かえって治療費が高くなる可能性があるため、今インプラントにかかる治療費と将来のリスクを十分にご検討いただき、患者様が信頼できる治療法をご選択いただければと思います。
Reservation